Sonohystogram Procedure in Sheridan, CO
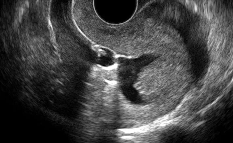
A sonohystogram is a way of looking at the uterus through imaging. In contrast to a normal ultrasound, a sonohystogram involves fluid and a probe to get an all-encompassing view of the inside of the uterus. It also takes a look at the fallopian tubes and pelvic area to detect and address any abnormalities that could be harmful. Our providers at Littleton Gynecology and Wellness are certified to perform these exams.
Providing Women in Sheridan with Cervical Exams
The cervix is the small opening into your uterus from the vaginal canal. Though small, the cervix is a very integral part of feminine reproduction, and cervical problems left untreated can be very dangerous. During a cervical exam, our providers at Littleton Gynecology and Wellness carry out a pap smear, which consists of taking sample cells from the cervix to check for just about any problem, like cervical cancer.
Pelvic Exams for Women in Sheridan
Throughout a comprehensive pelvic exam at Littleton Gynecology and Wellness, our suppliers examine the vulva, vagina, cervix, uterus, ovaries, fallopian tubes, bladder, and rectum. Whether it be an annual checkup, a pregnancy checkup, or a checkup in response to irregularities, our providers can pinpoint the causes of discomfort and look for sexually transmitted diseases or infections of any kind. Once detected, these complications can then be treated in a variety of ways.
Sheridan Women Have Access to Our Sonohystogram Procedure
The sonohystogram procedure at Littleton Gynecology and Wellness is done in three parts: a transvaginal ultrasound, fluid insertion, and a final ultrasound. The transvaginal ultrasound gets imaging of the uterus pre-fluid and also allows our examiners to judge the pelvis. Afterward, our provider will use a speculum to keep the vagina open while they clean the cervix and insert a tube to flow fluid into the uterus; fluid makes the endometrium easier to see, which helps us identify bloodstream clots and other possible abnormalities.



